Lompat ke konten Lompat ke sidebar Lompat ke footer

Tako-tsubo-kardiomyopathie

Takotsubo Cardiomyopathy Wikipedia

Takotsubo Cardiomyopathy Wikipedia

Tako-tsubo-kardiomyopathie. La sindrome di Takotsubo mima i sintomi dellinfarto del miocardio tantè che per distinguerla da questultimo e diagnosticarla servono diverse indagini storia clinica esame obiettivo elettrocardiogramma ecocardiogramma coronarografia ecc. Takotsubo cardiomyopathy causes the left ventricle of your heart to change shape and get larger. Diese Aufdehnung wird auch als Ballonierung ballooning bezeichnet.

Herzerkrankungen in der Schwangerschaft. The syndrome was first described in Japan in 1990. Download Full PDF Package.

Die Tako-Tsubo Cardiomyopathie TTC ist eine primäre Herzmuskelerkrankung die durch eine kurzfristige Einschränkung der Herzmuskelfunktion bei insgesamt unauffälligen Herzkranzgefäßen charakterisiert ist. Das Synonym Tako-Tsubo-Kardiomyopathie leitet sich von einer japanische Tintenfischfalle in Form eines Kruges mit kurzem Hals Tako-Tsubo ab da die Form der linken Herzkammer am Ende der Systole daran erinnert. It is an uncommon but clinically significant cause of chest pain that can mimic.

The clinical presentation of Tako-tsubo cardiomyopathy TCM is similar to an acute myocardial infarction with patients having chest pain ST segment elevations on EKG and elevated cardiac biomarkers. Tako-tsubo kardiomyopatie Tako-tsubo kardiomyopatie někdy zvaná jako apical ballooning cardiomyopathy syndrom zlomeného srdce stress cardiomyopathy je vzácné onemocnění nevyjasněné etiologie. What is takotsubo cardiomyopathy.

Dnes je nejvíce přijímána teorie o omráčení myokardu vysokou. Also known as stress-induced. Takotsubo cardiomyopathy is a temporary heart condition that is brought on by stress.

Takotsubo cardiomyopathy From Wikipedia the free encyclopedia Takotsubo cardiomyopathy or Takotsubo syndrome TTS also known as stress cardiomyopathy is a type of non- ischemic cardiomyopathy in which there is a sudden temporary weakening of the muscular portion of the heart. This weakens the heart muscle and means it doesnt pump blood as well as it should. Die Stress-Kardiomyopathie auch Gebrochenes-Herz-Syndrom Tako-Tsubo-Kardiomyopathie Tako-Tsubo-Syndrom transiente linksventrikuläre apikale Ballonierung oder Broken-Heart-Syndrom ist eine seltene akut einsetzende und oft schwerwiegende Funktionsstörung des Herzmuskels die vorwiegend bei älteren Frauen auftritt.

Herz Kardiovaskuläre Erkrankungen 2006. 37 Full PDFs related to this paper.

Stress Kardiomyopathie Wikipedia

Stress Kardiomyopathie Wikipedia

Takotsubo Cardiomyopathy Litfl Ecg Library Diagnosis

Takotsubo Cardiomyopathy Litfl Ecg Library Diagnosis

Herzprobleme Das Broken Heart Syndrom Cardiosecur

Herzprobleme Das Broken Heart Syndrom Cardiosecur

Tako Tsubo Syndrom Springerlink

Tako Tsubo Syndrom Springerlink

Tako Tsubo Kardiomyopathie Springerlink

Tako Tsubo Kardiomyopathie Springerlink

Pdf Tako Tsubo Kardiomyopathie Eine Neue Kardiale Entitat Semantic Scholar

Pdf Tako Tsubo Kardiomyopathie Eine Neue Kardiale Entitat Semantic Scholar

Figure 5 Ekg Bei Patienten Mit Tako Tsubo Kardiomyopathie Springerlink

Figure 5 Ekg Bei Patienten Mit Tako Tsubo Kardiomyopathie Springerlink

Broken Heart Syndrome Can Kill You A Broken Heart

Broken Heart Syndrome Can Kill You A Broken Heart

Ekg Bei Takotsubo Kardiomyopathie Fokus Ekg

Ekg Bei Takotsubo Kardiomyopathie Fokus Ekg

Sieht Aus Wie Ein Acs Ist Aber Keines Perikarditis Myokarditis Tako Tsubo Kardiomyopathie Kardiologie Gefassmedizin Universimed Medizin Im Fokus

Sieht Aus Wie Ein Acs Ist Aber Keines Perikarditis Myokarditis Tako Tsubo Kardiomyopathie Kardiologie Gefassmedizin Universimed Medizin Im Fokus

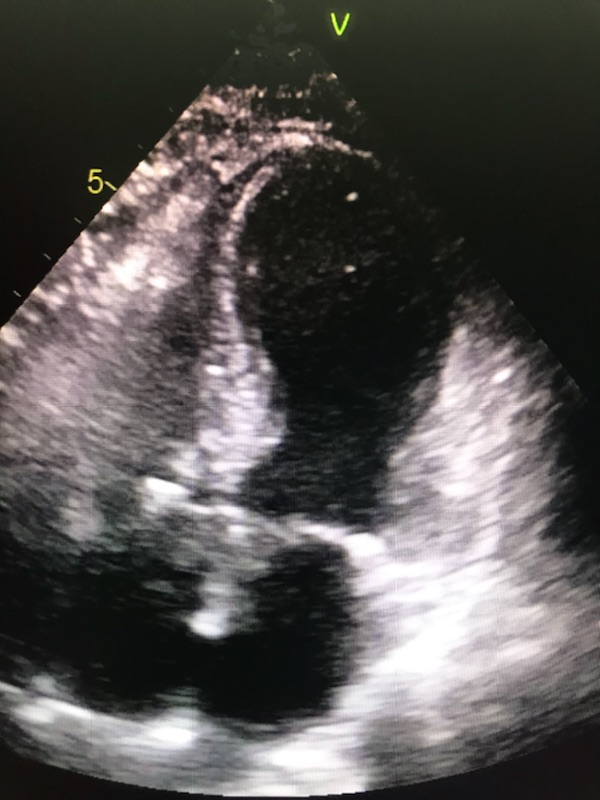
Figure 2 Echokardiographische Notfalldiagnostik Springerlink

Figure 2 Echokardiographische Notfalldiagnostik Springerlink

Tako Tsubo Kardiomyopathie Eref Thieme

Tako Tsubo Kardiomyopathie Eref Thieme

Neuer Score Fur Takotsubo Patienten Erlaubt Fruhe Risikoeinschatzung Medical Tribune

Neuer Score Fur Takotsubo Patienten Erlaubt Fruhe Risikoeinschatzung Medical Tribune

File Ecg Tako Tsubo Jpg Wikimedia Commons

File Ecg Tako Tsubo Jpg Wikimedia Commons

Stress Kardiomyopathie Doccheck Flexikon

Stress Kardiomyopathie Doccheck Flexikon

Takotsubo Kardiomyopathie Broken Heart Syndrom Youtube

Takotsubo Kardiomyopathie Broken Heart Syndrom Youtube

Ekg Bei Takotsubo Kardiomyopathie Fokus Ekg

Ekg Bei Takotsubo Kardiomyopathie Fokus Ekg

Ekg Bei Takotsubo Kardiomyopathie Fokus Ekg

Ekg Bei Takotsubo Kardiomyopathie Fokus Ekg

Tako Tsubo Kardiomyopathie Eref Thieme

Tako Tsubo Kardiomyopathie Eref Thieme

Adrenalin Induzierte Reverse Takotsubo Kardiomyopathie German Edition Gruber Eva Corinna 9783639874891 Amazon Com Books

Adrenalin Induzierte Reverse Takotsubo Kardiomyopathie German Edition Gruber Eva Corinna 9783639874891 Amazon Com Books

File Takotsubo Ventriculography Gif Wikipedia

File Takotsubo Ventriculography Gif Wikipedia

Koronarembolie Mit Apical Ballooning Als Komplikation Nach Elektrischer Kardioversion Parallelen Zur Tako Tsubo Kardiomyopathie Semantic Scholar

Koronarembolie Mit Apical Ballooning Als Komplikation Nach Elektrischer Kardioversion Parallelen Zur Tako Tsubo Kardiomyopathie Semantic Scholar

Ekg Bei Takotsubo Kardiomyopathie Fokus Ekg

Ekg Bei Takotsubo Kardiomyopathie Fokus Ekg

1

1

Takotsubo Cardiomyopathy Broken Heart Syndrome Harvard Health

Takotsubo Cardiomyopathy Broken Heart Syndrome Harvard Health

Koronarembolie Mit Apical Ballooning Als Komplikation Nach Elektrischer Kardioversion Parallelen Zur Tako Tsubo Kardiomyopathie Semantic Scholar

Koronarembolie Mit Apical Ballooning Als Komplikation Nach Elektrischer Kardioversion Parallelen Zur Tako Tsubo Kardiomyopathie Semantic Scholar

Tako Tsubo Kardiomyopathie50 Off Adidas Nmd Red Color

Tako Tsubo Kardiomyopathie50 Off Adidas Nmd Red Color

Umgekehrte Takotsubo Kardiomyopathie Als Folge Einer Subarachnoidalblutung Springerlink

Umgekehrte Takotsubo Kardiomyopathie Als Folge Einer Subarachnoidalblutung Springerlink

Tako Tsubo Kardiomyopathie Ubersicht Clinicalkey Now Themen

Tako Tsubo Kardiomyopathie Ubersicht Clinicalkey Now Themen

Pdf Tako Tsubo Kardiomyopathie Eine Neue Kardiale Entitat Semantic Scholar

Pdf Tako Tsubo Kardiomyopathie Eine Neue Kardiale Entitat Semantic Scholar

Tako Tsubo Stress Kardiomyopathie Fachpflegewissen De

Tako Tsubo Stress Kardiomyopathie Fachpflegewissen De

Pdf Tako Tsubo Kardiomyopathie Mit Reversibler Langstreckiger Vaskulitischer Gefassrarefizierung Des Riva Induziert Kammerflimmern Und Imitiert Einen Akuten Vorderwandinfarkt

Pdf Tako Tsubo Kardiomyopathie Mit Reversibler Langstreckiger Vaskulitischer Gefassrarefizierung Des Riva Induziert Kammerflimmern Und Imitiert Einen Akuten Vorderwandinfarkt

2d Echocardiogram Takotsubo Cardiomyopathy Youtube

2d Echocardiogram Takotsubo Cardiomyopathy Youtube

Https Www Kup At Kup Pdf 6127 Pdf

Https Www Kup At Kup Pdf 6127 Pdf

Vom Broken Heart Syndrom Ein Herzinfarkt Der Keiner Ist Onetz

Vom Broken Heart Syndrom Ein Herzinfarkt Der Keiner Ist Onetz

Weltweit Grosste Studie Zur Takotsubo Kardiomyopathie Wurde Jetzt Veroffentlicht Medical Tribune

Weltweit Grosste Studie Zur Takotsubo Kardiomyopathie Wurde Jetzt Veroffentlicht Medical Tribune

Reverse Takotsubo Kardiomyopathie Eine Lebensbedrohliche Erkrankung Springerlink

Reverse Takotsubo Kardiomyopathie Eine Lebensbedrohliche Erkrankung Springerlink

Das Broken Heart Syndrom Cerascreen

Das Broken Heart Syndrom Cerascreen

Abstract 144 Anstehende Sondenextraktion Induziert Takotsubo Kardiomyopathie

Abstract 144 Anstehende Sondenextraktion Induziert Takotsubo Kardiomyopathie

Takotsubo Syndrome Emcrit Project

Takotsubo Syndrome Emcrit Project

Pdf Tako Tsubo Cardiomyopathy A Novel Cardiac Entity

Pdf Tako Tsubo Cardiomyopathy A Novel Cardiac Entity

Adrenalin Induzierte Reverse Takotsubo Kardiomyopathie Buy Adrenalin Induzierte Reverse Takotsubo Kardiomyopathie Online At Low Price In India On Snapdeal

Adrenalin Induzierte Reverse Takotsubo Kardiomyopathie Buy Adrenalin Induzierte Reverse Takotsubo Kardiomyopathie Online At Low Price In India On Snapdeal

Takotsubo Cardiomyopathy Broken Heart Syndrome Harvard Health

Takotsubo Cardiomyopathy Broken Heart Syndrome Harvard Health

Pin Auf Broken Heart Syndrome

Pin Auf Broken Heart Syndrome

Mrt Klart Akuten Brustschmerz

Mrt Klart Akuten Brustschmerz

Tako Tsubo Kardiomyopathie Centrum Fur Seltene Erkrankungen Ruhr Ceser

Tako Tsubo Kardiomyopathie Centrum Fur Seltene Erkrankungen Ruhr Ceser

Takotsubo Kardiomyopathie Youtube

Takotsubo Kardiomyopathie Youtube

Takotsubo Cardiomyopathy Litfl Ecg Library Diagnosis

Takotsubo Cardiomyopathy Litfl Ecg Library Diagnosis

Https Encrypted Tbn0 Gstatic Com Images Q Tbn And9gcqjvpxgcpbnml9epyktyhecskzgai Bug6daksbdocvsnqcknf Usqp Cau

Https Encrypted Tbn0 Gstatic Com Images Q Tbn And9gcqjvpxgcpbnml9epyktyhecskzgai Bug6daksbdocvsnqcknf Usqp Cau

Download Full PDF Package.

In TCM however the elevation in cardiac enzymes is usually mild. What is takotsubo cardiomyopathy. Die Tako-Tsubo-Kardiomyopathie ist eine spezifische Form der regionalen reversiblen linksventrikulären Dysfunktion die häufig mit einer vorausgehenden schweren psychischen Stressbelastung verbunden ist und einen günstigen klinischen Verlauf aufweist. Download Full PDF Package. The syndrome was first described in Japan in 1990. Stress cardiomyopathy also called apical ballooning syndrome takotsubo cardiomyopathy broken heart syndrome and stress-induced cardiomyopathy is a syndrome characterized by transient regional systolic dysfunction principally of the left ventricle LV mimicking myocardial infarction but in the absence of angiographic evidence of obstructive coronary artery disease or acute plaque rupture 1-16. Takotsubo cardiomyopathy also known as broken heart syndrome apical ballooning syndrome or stress cardiomyopathy occurs when a stressful emotional or physical event causes the left ventricle of the heart to dilate leading to acute heart failure. Das Synonym Tako-Tsubo-Kardiomyopathie leitet sich von einer japanische Tintenfischfalle in Form eines Kruges mit kurzem Hals Tako-Tsubo ab da die Form der linken Herzkammer am Ende der Systole daran erinnert. Takotsubo cardiomyopathy From Wikipedia the free encyclopedia Takotsubo cardiomyopathy or Takotsubo syndrome TTS also known as stress cardiomyopathy is a type of non- ischemic cardiomyopathy in which there is a sudden temporary weakening of the muscular portion of the heart.


Dnes je nejvíce přijímána teorie o omráčení myokardu vysokou. Takotsubo cardiomyopathy starts abruptly and unpredictably with symptoms of chest pain and often shortness of breath usually triggered by an emotionally or physically stressful event and with a predilection for women older than 50 years of age only 10 in men. A short summary of this paper. Takotsubo cardiomyopathy From Wikipedia the free encyclopedia Takotsubo cardiomyopathy or Takotsubo syndrome TTS also known as stress cardiomyopathy is a type of non- ischemic cardiomyopathy in which there is a sudden temporary weakening of the muscular portion of the heart. What is takotsubo cardiomyopathy. Tako-tsubo kardiomyopatie Tako-tsubo kardiomyopatie někdy zvaná jako apical ballooning cardiomyopathy syndrom zlomeného srdce stress cardiomyopathy je vzácné onemocnění nevyjasněné etiologie. Refers to acute stress-induced reversible dysfunction of the left ventricle.

Posting Komentar untuk "Tako-tsubo-kardiomyopathie"